Cervical cancer is among the most widespread gynecological cancers worldwide, with outcomes that vary greatly depending on region and healthcare access. The World Health Organization reports that more than 600,000 women are diagnosed annually, and almost 340,000 lose their lives to the disease, even though it can often be prevented through vaccination and timely screening [1].

In Germany, patients have access to some of the most advanced options for cervical cancer treatment in Europe. The current methods include minimally invasive surgery with the use of various surgical methods, highly precise and accurate radiation therapy, and new systemic treatment approaches. Treatment is provided in the leading university hospitals and specialized cancer centers, whereby interdisciplinary teams are directed by internationally accepted protocols. In this context, brachytherapy has a special role as a specific and efficient strategy for treating cervical cancer.
Types of Brachytherapy Used in Cervical Cancer
Brachytherapy has gained some popularity in contemporary oncology and is now an option of treatment in cervical cancer, allowing radiation to be delivered to the tumor precisely and avoiding excessive radiation to healthy tissue. This type of internal radiation therapy may be used in different ways in relation to the level of the disease, the overall state of the patient, and the aims of the treatment regimen prepared by a multidisciplinary team of treatment professionals under the leadership of a radiation oncologist. All in all, two broad categories of brachytherapy procedures exist to cure cervix cancer.
Low-Dose-Rate (LDR) Brachytherapy for Cervical Cancer
LDR brachytherapy is the placement of a moderate dose rate radioactive source right up the vagina or directly into the cervix with an applicator. The applicator stays in place for 1–2 days, allowing continuous exposure of cancer cells to radiation. Because of the longer duration, this approach usually requires hospitalization and close monitoring by the treatment team. LDR brachytherapy has been proven effective in controlling cervix cancer and remains an important method of gynecologic brachytherapy in specialized clinics across Germany.
High-Dose-Rate (HDR) Brachytherapy for Cervical Cancer
HDR brachytherapy (high dose rate) uses a much stronger radioactive source (typically above 12 Gy/hr). In this case, the applicator with the radioactive element is carefully placed in the cervix or vaginal canal, but it only remains for 20–30 minutes before removal. This short exposure time allows the procedure to be performed on an outpatient basis. The advantage of HDR brachytherapy is that it enables precise brachytherapy treatment sessions without the need for prolonged hospital stays, while still effectively destroying cancer cells and minimizing damage to healthy tissue. Both approaches of brachytherapy for cervical cancer can be discussed as equally effective. This decision is based on the specific case, stage of the disease and the suggestion of the radiation oncologist in charge. In many German centers, these methods are often combined with external beam radiation therapy to achieve better local control of the tumor and improve survival outcomes in women’s health.
How is the Brachytherapy Procedure for Cervical Cancer Carried Out?
The procedure of brachytherapy related to cervical cancer in the German oncology centers is conducted in accordance with the international standards of safety, with the highest precision in the radiation dose directed to the tumor. HDR brachytherapy (high dose rate) is the most prevalent, as it enables patients to undergo effective brachytherapy treatment on an outpatient basis without having to stay in the hospital. As a rule, there is a weekly appointment and the whole course takes 4-5 weeks. During this period, the treatment team, led by a highly qualified radiation oncologist, monitors every step of the process.
Planning Stage
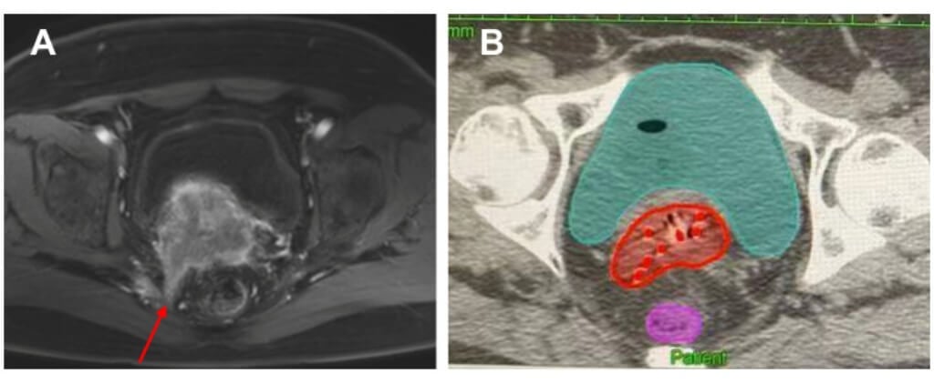
Before the start of internal radiation therapy, a detailed examination is carried out. Patients are subjected to pelvic MRI or CT scans, which enable specialists to see the cancer cells, define what size the tumor is, and where it is located precisely, as well as examine the state of other organs and healthy tissue. On the basis of these images, the treatment team develops a unique treatment plan. At this point, the radiation oncologist determines the best radiation dose and determines the type of applicator that should be used, whether it is an intracavitary brachytherapy or interstitial brachytherapy.
Implantation Stage
The second step is to insert the applicator. The treatment is normally performed under anesthesia in order to make the patient comfortable. To achieve intracavitary brachytherapy, the applicator is inserted in the cervix or in the upper portion of the vagina and held by gauze. Substratum brachytherapy can be applied under more complicated conditions, namely when the tumor spreads further deep into the tissues. In this method, thin hollow needles deliver radiation sources directly into the affected area, allowing the treatment team to more precisely treat cancer and minimize exposure of healthy tissue.

Radiotherapy Stage
After the applicator is attached, the applicator is then tied to the tubes of the brachytherapy system. Special apparatus inserts the radioactive material into the applicator automatically and makes sure that the cancer cells are given the intended dose, and the surrounding organs are not harmed. At the end of every session, the radioactive granules are either stored safely in places that are secure and the applicator is removed. Modern brachytherapy treatment is highly accurate and safe with such an automated process.
Follow-Up after Brachytherapy for Cervical Cancer
A follow-up examination is usually scheduled about one month after the completion of the entire treatment course. At this point, the radiation oncologist will be able to assess the degree to which the cervix cancer has been suppressed, whether or not there is any leftover tumor, and whether or not they have to make changes to the treatment plan. Aftercare is a critical aspect of female health, and it is important to make sure patients have a chance to enjoy the full extent of contemporary radiation therapy in Germany.
Effectiveness and Benefits of Brachytherapy for Cervical Cancer
Brachytherapy has turned out to be among the most effective methods of managing cervix cancer, at the initial stage and also in the advanced stages of the disease. Its efficacy is mostly attributed to the fact that the treatment team, together with the radiation oncologist, is capable of providing a focused dose of radiation to the tumor and sparing the rest of the healthy tissue. In German clinics, this method is integrated into comprehensive care pathways, combining modern imaging, advanced planning systems, and international experience in women’s health.
High Effectiveness in Tumor Control
Various clinical trials confirm that brachytherapy treatments, especially HDR brachytherapy and LDR brachytherapy, are a critical aspect in the local control of the disease. The technique greatly improves the survival rates and minimizes the chances of recurrence, since it allows the cancer cells to be meticulously targeted. In patients with locally advanced cervical cancer, it has been established as the gold standard that integrates the treatment of brachytherapy with external beam radiation therapy, which ensures that not only the primary tumor but also the microscopic disease is cured.
Benefits for Patients
The benefit of brachytherapy is that it does not cause much damage to normal tissue, as other radiation therapies can cause [4]. This is translated into reduced side effects in the long run, faster recovery, and cutting down on the rehab. The treatment is normally on an outpatient basis, hence most patients can continue living their usual life during the course of treatment. In addition, the radiation oncologist will be able to dynamically redesign the treatment plan by applying the latest imaging systems, which ensure the highest safety and efficiency.
Individualized Treatment Approach
Another important benefit is personalization. Each patient receives a tailored treatment plan, created by the treatment team, which considers the size and spread of the tumor, as well as individual health factors. Depending on clinical needs, specialists may recommend intracavitary brachytherapy, interstitial brachytherapy, or even a combination of both. In some cases, temporary brachytherapy or permanent brachytherapy options are considered, ensuring that every woman receives the most suitable care. This flexibility allows German clinics to successfully treat cervical cancer across different stages, from early-stage cervical cancers to more advanced forms.
| Country | Price of Brachytherapy |
|---|---|
| Cost in Germany | €28,000 - €42,000 |
| Cost in Great Britain | €35,000 - €65,000 |
| Cost in the USA | €40,000 - €80,000 |
Innovations in Gynecologic Brachytherapy for Cervical Cancer
Germany is a leader in applying cutting-edge technologies in gynecologic brachytherapy [5], giving patients with cervical cancer access to advanced approaches that improve outcomes and support long-term quality of life. The goal is to target the tumor effectively while preserving healthy tissue, which is essential for recovery and overall women’s health.
A major innovation is brachytherapy treatment guided by imaging. MRI or CT scans help locate the cancer cells precisely. This enables the treatment team and the radiation oncologist to come up with an individualized treatment plan that gives the best radiation dose to the tumor without necessarily sacrificing the surrounding organs.
Intracavitary brachytherapy and interstitial brachytherapy, planning with 3D software, are also used in modern clinics to enable a physician to customize treatment to the stage of cervix cancer and individual anatomy. In some cases, temporary brachytherapy or permanent brachytherapy is applied, offering flexible and individualized care.
Combining brachytherapy procedures with external beam radiation therapy has shown excellent results, especially for locally advanced cervical cancer. With the guidance of experienced specialists, doctors can treat cancer comprehensively. Each patient is carefully treated and monitored throughout the treatment course to ensure maximum effectiveness and safety.
Overall, these innovations in Germany allow patients undergoing brachytherapy to achieve strong disease control while maintaining a higher quality of life after being successfully treated.
A Medical Journey: Every Step of the Way With Booking Health
Finding the best treatment strategy for your clinical situation is a challenging task. Being already exhausted from multiple treatment sessions, having consulted numerous specialists, and having tried various therapeutic interventions, you may be lost in all the information given by the doctors. In such a situation, it is easy to choose a first-hand option or to follow standardized therapeutic protocols with a long list of adverse effects instead of selecting highly specialized innovative treatment options.
To make an informed choice and get a personalized cancer management plan, which will be tailored to your specific clinical situation, consult medical experts at Booking Health. Being at the forefront of offering the latest medical innovations for already 12 years, Booking Health possesses solid expertise in creating complex management programs in each individual case. As a reputable company, Booking Health offers personalized cervical cancer treatment plans with direct clinic booking and full support at every stage, from organizational processes to assistance during treatment. We provide:
- Assessment and analysis of medical reports
- Development of the medical care program
- Selection of a suitable treatment location
- Preparation of medical documents and forwarding to a suitable clinic
- Preparatory consultations with clinicians for the development of medical care programs
- Expert advice during the hospital stay
- Follow-up care after the patient returns to their native country after completing the medical care program
- Taking care of formalities as part of the preparation for the medical care program
- Coordination and organization of the patient's stay in a foreign country
- Assistance with visas and tickets
- A personal coordinator and interpreter with 24/7 support
- Transparent budgeting with no hidden costs
Health is an invaluable aspect of our lives. Delegating management of something so fragile yet precious should be done only to experts with proven experience and a reputation. Booking Health is a trustworthy partner who assists you in pursuing stronger health and a better quality of life. Contact our medical consultant to learn more about the possibilities of personalized treatment with innovative methods for cervical cancer with leading specialists in this field.
Fighting Cancer Together: Treatment Journeys with Booking Health
FAQ: Brachytherapy for Cervical Cancer in Germany
Send request for treatmentPrograms of brachytherapy cervical cancer in Germany include HDR, LDR, and modern interstitial options. Depending on the tumor stage, the treatment team may use intracavitary or interstitial methods. Each brachytherapy treatment is tailored to the patient, ensuring that the cervix cancer is effectively treated while sparing healthy tissue.
The principal HDR brachytherapy advantages are shorter sessions, greater precision and outpatient treatment. HDR enables women to be treated in a more comfortable environment compared to LDR, that requires the person to be hospitalized. The radiation oncologist will compose the treatment plan so that the appropriate amount of radiation is delivered to the cancer cells without affecting other organs.
Yes, in Germany, image-guided brachytherapy is standard practice in the leading hospitals. The treatment team is able to delineate both the tumor and the surrounding healthy tissues using MRI or CT scans. This mode aids the radiation oncologist to modify the treatment plan and provide the best radiation therapy, which greatly enhances the results of cases of cervix cancer.
In advanced clinics, combining both methods offers the best control. Studies on brachytherapy vs EBRT outcomes show that brachytherapy delivers a higher local impact on cancer cells, while external beam radiation therapy covers wider pelvic areas. Together, they help to treat cancer effectively, especially in locally advanced cervical cancer cases.
Yes, Booking Health is a provider of brachytherapy in the top hospitals in Germany. They find the treatment team and radiation oncologist, plan diagnostics, and deal with travel. This will ensure that the international patients receive the optimum treatments of brachytherapy and individualized treatments that will improve the outcomes and protect the long-term health of females.
Choose treatment abroad and you will for sure get the best results!
Authors:
This article was edited by medical experts, board-certified doctors Dr. Nadezhda Ivanisova, and Dr. Bohdan Mykhalniuk. For the treatment of the conditions referred to in the article, you must consult a doctor; the information in the article is not intended for self-medication!
Our editorial policy, which details our commitment to accuracy and transparency, is available here. Click this link to review our policies.
Sources:
[1] WHO. Cervical cancer. https://www.who.int/news-room/fact-sheets/detail/cervical-cancer
[2] Minmin Wang, Kepei Huang, Martin C S Wong et al. Global Cervical Cancer Incidence by Histological Subtype and Implications for Screening Methods. J Epidemiol Glob Health. 2024 Mar;14(1):94-101. doi: 10.1007/s44197-023-00172-7. Epub 2024 Jan 3. [DOI] [PubMed]
[3] Xiaojing Yang, Hanru Ren, Zhen Li, Jie Fu. Brachytherapy for cervical cancer: from intracavitary to interstitial technique. Front Oncol. 2024 Nov 6;14:1442712. doi: 10.3389/fonc.2024.1442712. [DOI] [PMC free article]
[4] Robyn Banerjee, Mitchell Kamrava. Brachytherapy in the treatment of cervical cancer: a review. Int J Womens Health. 2014 May 28;6:555–564. doi: 10.2147/IJWH.S46247. [DOI] [PMC free article]
[5] Clinical and Translational Radiation Oncology. The current status of brachytherapy in Europe − A GEC-ESTRO Brachy-HERO survey. https://www.ctro.science/article/S2405-6308(24)00160-5/fulltext
Read:
Cervical Cancer Treatments Guide
Comprehensive Guide to Stage 4 Cervical Cancer Treatment
Cervical cancer treatment with dendritic cell therapy
Article menu:
- Types of Brachytherapy Used in Cervical Cancer
- How is the Brachytherapy Procedure for Cervical Cancer Carried Out?
- Effectiveness and Benefits of Brachytherapy for Cervical Cancer
- Innovations in Gynecologic Brachytherapy for Cervical Cancer
- A Medical Journey: Every Step of the Way With Booking Health
- FAQ: Brachytherapy for Cervical Cancer in Germany
Don't know where to start?
Contact Booking Health





