A brain tumor is an abnormal growth of cells within the brain tissue that can be primary (originating in the brain) or metastatic (spreading from elsewhere). Approximately 26.3% of all brain and other central nervous system tumors were classified as malignant, whereas 73.7% were non-malignant. This indicates that non-malignant tumors are more than twice as prevalent as malignant tumors [1]. Primary brain neoplasms occur more often in males than females (8.02 versus 5.82 per 100,000, respectively) [2].
A total of 88,186 deaths were due to malignant brain and other central nervous system (CNS) tumors. This corresponds to an average yearly mortality rate of 4.41 per 100,000 people and roughly 17,637 deaths annually, which is about 48 deaths daily [1].
Brain masses are not a single disease but a group of pathologies that differ significantly in tumor location, structure, and, most importantly, prognosis and treatment modalities. Some types are life-threatening and can lead to sudden death, while others are amenable to therapy and can be cured completely.
What Is a Brain Tumor?
A brain neoplasm is an abnormal growth of cells within the brain tissue or in surrounding structures, such as the meninges, cranial nerves, or pituitary gland. It can interfere with normal brain function by increasing intracranial pressure and directly damaging brain tissue. Tumors in the brain can be primary, originating from cells within the brain, including glial, meningeal, or glandular cells. Secondary CNS tumors occur when cancer cells travel to the brain from another part of the body and are also called metastases.
Benign tumors grow more slowly and don’t spread to other organs. Malignant neoplasms are more aggressive, grow faster, invade surrounding tissues, and metastasize.
The tumor’s location is critical to disease prognosis. The closer the tumor is to functionally active areas, the earlier neurological disorders develop and the more pronounced the neurological deficit. The location can be determined by the signs and symptoms of tumor in brain that arise. After all, different structures of the central nervous system are responsible for different functions. Consequently, the malfunction of one or another of its processes indicates the presence of a tumor in the corresponding parts of the brain.
Types of Brain Tumors
Tumors in the brain are classified by the type of cells they originate from and whether they begin in the brain or spread from another part of the body. Each type behaves differently and can affect brain function depending on its location, size, and growth rate.
Based on the tumor location, these are the following types of brain tumors [3]:
- Intracerebral. They are located inside the brain. More often, these are malignant. Spreading through brain tissues, disrupting the functions of the central nervous system. Its complete removal is usually impossible. Despite the lack of metastases, the prognosis in most cases is unfavorable.
- Extracerebral. More often, these are benign tumors. They grow slowly. The brain is not infiltrated, but it is pushed by the tumor from the outside. It is removed completely. Prognosis in this case is usually favorable.
The WHO classification considers the tumor’s primary origin and aggressiveness [4].
- Grade 1: benign, slow-growing tumors; cells look closer to normal.
- Grade 2: cells look slightly abnormal, and there is a higher risk of progression.
- Grade 3: malignant tumors with significantly altered cell morphology.
- Grade 4: most aggressive, grow extremely rapidly, and often form areas of dead tissue within the tumor.
Histological classification of brain neoplasms is the most significant. It is based on the tissue structure in which the tumor develops.
It can develop from:
- Parenchyma of the brain (glioma)
- Peripheral nerves (neurinomas)
- Membranes of the brain (meningioma)
- Hemopoietic tissue (lymphoma)
- Embryonic cells (glioblastoma)

Glial Tumor of the Brain
Gliomas are one of the most common types of brain tumors (accounting for more than 50% of all cases) [5]. They can arise from different tissues. The name of the tumor is based on its primary location. Ependymomas develop from the cells of the ventricular ependyma. Oligodendroglioma develops from oligodendrocytes. Astrocytoma develops from astrocytes.
Not every tumor in the brain is malignant. There are also benign tumors. In general, brain neoplasms are classified into 4 stages distinguished by the level of malignancy. They differ in histological structure, not in the number of metastases or tumor size, unlike cancers in other locations.
Stages 1 and 2 are benign types of brain neoplasms. Stage 1 glioma brain tumor includes pilocytic astrocytoma, fibrillary astrocytoma, and xanthoastrocytoma. Ependymoma is considered a stage 2 brain tumor.
These types of tumors in the brain are effectively treatable. Often, they have clear boundaries and can be completely removed. Even with their incomplete removal, these types of brain tumors recur infrequently. The probability of their recurrence within 10 years after surgery is no more than 20%. However, in case they recur, the tumor becomes malignant in 70% of cases [6].
Stages 3 and 4 are malignant tumors. Anaplastic astrocytoma is a stage 3 brain tumor cancer. It is quite common and accounts for a third of all gliomas. It is characterized by infiltrative growth.
Glioblastoma (GBM) is the most commonly diagnosed brain malignancy, classified as a stage 4 brain tumor cancer. It accounts for half of all gliomas and 25% of all CNS neoplasms. Glioblastoma can affect any part of the brain, although it most frequently occurs in the temporal region. Glioblastoma treatment poses significant challenges. The prognosis for this tumor is unfavorable because it is often impossible to completely remove it.

Brain Tumors of the Meninges
The second most common type of tumors in the brain after gliomas is a tumor of the meninges. Meningeal tumors account for approximately 20% of all brain neoplasms [8]. 95% of these tumors are meningiomas. Other types are much less common. These include hemangiopericytoma, histiocytoma, melanoma, and others.
These tumors are classified not in 4 stages, but in three:
- Benign
- Intermediate
- Malignant
Benign are the most common types. A stage 2 brain tumor is called atypical meningioma, and a stage 3 brain tumor cancer is anaplastic meningioma or meningosarcoma.
Pituitary Adenoma
CNS tumor classification includes tumors of the Turkish saddle, which are one of the third most common types of brain tumors, making up about 10% of cases. The most prevalent and benign form is pituitary adenoma. Neurological brain tumor cancer symptoms of central nervous system damage are often atypical in this condition. The primary brain tumor symptoms relate to elevated hormone levels produced by the tumor. As the tumor enlarges, it can compress the optic nerves, leading to visual disturbances. Further growth can invade the cavernous sinus, leading to oculomotor disturbances. If it extends into the third ventricle, intracranial pressure increases.
Approximately 30% of these tumors do not produce hormones. The remaining 70% are hormone active [9]. They are named after the hormone they produce. The most common is a prolactinoma, which synthesizes prolactin. Less common are somatotropinoma and adrenocorticotropinoma.
Schwannoma
Tumors that develop from nerves account for 8% of all brain neoplasms. The most common type is a neurinoma (Schwannoma). They develop from the nerve sheaths. More often, they arise from sensory nerve sheaths, less often from motor nerve sheaths. As a rule, they are benign, although they can occasionally be malignant. In approximately 8% of cases, a stage 4 brain tumor cancer develops from the peripheral nerves [10].
Medulloblastoma
Medulloblastoma is the most common malignant brain neoplasm in children, representing about 20% of all childhood tumors of the brain. The cancer originates from embryonic cells in the cerebellum at the base of the skull and is classified as a grade 4 fast-growing and aggressive tumor.
Craniopharyngioma
This refers to tumors that arise from embryonic tissue and account for 4% of all tumors. They are predominantly benign and capable of producing hormones. These neoplasms are typically found in children and require complex brain tumor surgery.
Lymphoma
A rare type of brain malignancy. It occurs more often in HIV-infected individuals or in those receiving immunosuppressive therapy after internal organ transplantation.
Germinoma
This tumor arises from embryonic tissue. Asians are 5 times more likely to develop this type of tumor than Europeans [11]. It is usually located in the epiphysis. Germinoma is a severe type of cancer. It often metastasizes, unlike most other central nervous system tumors. Germinoma cannot be surgically removed. Patients usually undergo non-surgical treatment of brain tumors, such as chemotherapy and radiotherapy. However, children typically recover from it.
Metastatic Tumors
Cancer of other organs can metastasize to the brain in later stages. The true prevalence of such tumors is unknown, as they often present at terminal stages of illness, when patients are not carefully examined. Most often, lung cancer metastasizes to the brain (40% of cases). Less commonly, breast cancer (10%), kidney cancer (6%), and stomach or bowel cancer (5%). The brain cancer metastasis prognosis varies widely, from months to years, depending on disease control and response to treatment.
For patients seeking advanced care after a diagnosis of brain cancer, Germany is recognized for its innovative brain cancer treatments, combining cutting-edge technology with multidisciplinary expertise.
Learn more about the latest therapeutic approaches
Benign vs. Malignant Tumors
CNS tumors can be classified based on their cellular behavior and growth properties. Benign tumors are mostly slow-growing masses with defined borders that do not invade surrounding tissue, but they can become life-threatening by putting pressure on vital brain structures. Malignant tumors grow more rapidly, infiltrate healthy brain tissue, damage neurons, and are much more likely to recur after treatment [12].
| Characteristics | Benign Tumors | Malignant Tumors |
|---|---|---|
| Growth | Slow | Rapid and aggressive |
| Borders | Well-defined, localized | Irregular, jagged |
| WHO grade | I, II | III, IV |
| Invasiveness | Does not invade nearby tissue | Invades surrounding brain tissue |
| Reoccurrence | Rare | High |
| Impact on function | Can cause symptoms due to pressure | Causes progressive neurological damage |
| Prognosis | Often favorable | Differs, but can be lethal |

Symptoms of a Brain Tumor
Brain tumor symptoms can vary depending on the tumor’s size, growth rate, and location within the brain. They often develop gradually over months or years as the tumor grows. Each brain region controls a specific function or part of the body, and symptoms often depend on the location.
Brain tumor warning signs in adults can include persistent headaches that worsen in the morning, unexplained nausea or vomiting, and the onset of seizures. Some may also experience cognitive and behavioral changes, such as memory problems, aggression, or difficulty concentrating.
Tumor of the Frontal Lobe of the Brain
When the tumor is in the frontal lobe of the brain, there are:
- Epileptic seizures
- Lack of coordination
- Personality disorders, mental disorders, often the patient loses a sense of humor and cannot joke, can become aggressive, sloppy, cynical
- Impaired sense of smell
- Involuntary movements
- Primitive reflexes (proboscis, palm-grasping)
Neoplasm of brain symptoms include sluggishness, speech impairment, and lack of insight, meaning the patient does not realize that he or she is behaving strangely. At the same time, patients retain their spatial orientation and consciousness. Motor disorders develop on the side opposite the tumor; for example, a right frontal lobe tumor can cause involuntary movements on the left side of the body. Deterioration of the sense of smell can also be one-sided.
Tumors of the Brain Stem
Tumors of the brain stem are the most concerning. This is a common location for gliomas. These malignant tumors are inoperable because they are located near conducting pathways and cranial nerves.
A tumor of the medulla oblongata is usually rapid and fatal. It is located in the section of the trunk where the vital centers of respiration and circulation are. Because this area contains a large number of nerves, the symptoms can be very diverse. Usually, one of the early symptom of a brain tumor involve the loss of function of one of the cranial nerves. There can also be weakness in the extremities on the opposite side. As the tumor grows, bilateral paralysis develops.
Brain Tumor of the Cerebral Cortex
Symptoms of cerebral cortex damage depend on the tumor localization. It can be located in different parts of the cerebral hemispheres.
For example [14]:
- Central gyrus – the muscle tone of the extremities intensifies, speech disorders develop, there can be epileptic seizures, and a sensory disorder of the face and body.
- Temporal lobe – the intracranial pressure rises, seizures of epilepsy with loss of consciousness (absences).
- Upper parietal lobe – pain and sensitivity disorders on the opposite side of the body or only in the hand, apraxia (inability to perform targeted movements).
- Lower parietal lobule – the patient does not orient in space, cannot count, writes with errors, or cannot write at all, and does not recognize the left and right sides.
- Occipital lobe – visual black-and-white hallucinations, halo in the eyes, disorder of color perception, headaches.
Causes of Brain Tumor
Medical science has made great progress in mapping the human genome and understanding cellular biology. However, the precise cause of most CNS tumors remains one of oncology’s most persistent mysteries. For many patients, the cause of brain tumor cancer remains unknown. Many malignancies arise from spontaneous genetic mutations and are not caused by a single external risk factor or by inheritance.
Although there is no single clear trigger and many people diagnosed with a brain neoplasm have no identifiable cause, scientists have identified reasons for brain tumor development that may increase the likelihood of developing certain types:
- Radiation. It is one of the most studied environmental factors. The risk is especially significant when exposure occurs during childhood, when the brain is developing, and many embryonic cells divide rapidly. Also, approximately 4% of brain cancers in the general population are caused by CT scan radiation [15].
- Genetics. Factors such as Neurofibromatosis Type 1 and 2, Li-Fraumeni syndrome, and other inherited syndromes account for approximately 5–10% of CNS tumors [16]. Also, many neoplasms arise from acquired genetic mutations that develop during a person’s life.
- Immune system disorders contribute to the development of malignancies, particularly primary central nervous system lymphomas, by weakening the immune response that destroys abnormal cells, allowing tumors to grow. Some of these conditions include HIV/AIDS or organ transplant recipients.
- Age. Many CNS tumor types are common in specific age groups. Medulloblastomas are more likely to develop in children, whereas glioblastomas and meningiomas are more frequently diagnosed in adults and older individuals.
- Sex. Some cancers, such as meningiomas, develop 2,5 times more frequently in women than in men [17]. Others, such as gliomas, are slightly more common in men. This shows that hormonal and biological differences may influence tumor development.
- Environmental exposures. Long-term exposure to certain chemicals like solvents, pesticides, vinyl chloride, or petroleum products can be a cause of brain tumor cancer.
- Lifestyle. Obesity, chronic inflammation, insulin resistance, smoking, consumption of processed meats, and physical inactivity may contribute to reasons for brain tumor in general, though direct links to CNS tumors remain under investigation.
The cause of brain tumor cancer is complex and largely unclear, as many malignancies develop without any identifiable cause. Genetic mutations and radiation play a significant role. Lifestyle factors appear to have limited influence compared with other cancers, and many commonly suspected causes, such as mobile phone exposure, lack strong scientific evidence.
Brain Tumor Diagnosis
Diagnosis of tumors in the brain is a complex process that involves detailed clinical evaluation and advanced imaging. Because early symptoms of brain tumors can be subtle or similar to those of other neurological conditions, a systematic diagnostic approach is essential.
A diagnostic process usually begins with a comprehensive medical history evaluation and determination of the possible cause of brain tumor cancer. You will discuss your symptoms, their duration, and how they have changed over time. A neurological examination will also be performed to check strength and coordination, sensation to touch, pain, and vibration, balance and reflexes, as well as speech and language skills.
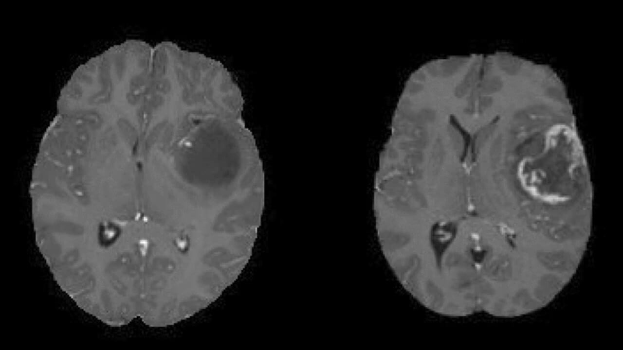
The next step in brain tumor diagnosis is imaging studies. Magnetic resonance imaging (MRI) is the most sensitive for brain tissue. It can show the tumor’s size, shape, and location, help determine whether the tumor involves vital structures, and guide surgical planning. It will help to determine the stage of brain tumor cancer. A CT scan can also be performed as the initial test when a patient presents with acute symptoms, such as a severe headache or neurological deficits.
Histological examination is also an important step in obtaining a definitive diagnosis. It can be performed using a stereotactic needle biopsy, a minimally invasive procedure, or during tumor resection. Histopathological analysis determines the tumor type and grade, which are critical for prognosis and treatment planning.
If you are struggling to decide the next step after diagnosis, seek help with Booking Health and plan your treatment abroad in countries like Germany. Many patients turn to German neuro-oncology centers for evaluation and second opinions due to their precise diagnostic protocols, access to advanced imaging, and integration of genetic and molecular tumor profiling.
Explore advanced options for brain cancer treatment in Germany
A Medical Journey: Every Step of the Way With Booking Health
Finding the best treatment strategy for your clinical situation is a challenging task. Being already exhausted from multiple treatment sessions, having consulted numerous specialists, and having tried various therapeutic interventions, you may be lost in all the information given by the doctors. In such a situation, it is easy to choose a first-hand option or to follow standardized therapeutic protocols with a long list of adverse effects instead of selecting highly specialized innovative treatment options.
To make an informed choice and get a personalized cancer management plan, which will be tailored to your specific clinical situation, consult medical experts at Booking Health. Being at the forefront of offering the latest medical innovations for already 12 years, Booking Health possesses solid expertise in creating complex cancer management programs in each case. As a reputable company, Booking Health offers personalized brain tumor treatment plans with direct clinic booking and full support at every stage, from organizational processes to assistance during treatment. We provide:
- Assessment and analysis of medical reports
- Development of the medical care program
- Selection of a suitable treatment location
- Preparation of medical documents and forwarding to a suitable clinic
- Preparatory consultations with clinicians for the development of medical care programs
- Expert advice during the hospital stay
- Follow-up care after the patient returns to their native country after completing the medical care program
- Taking care of formalities as part of the preparation for the medical care program
- Coordination and organization of the patient's stay in a foreign country
- Assistance with visas and tickets.
- A personal coordinator and interpreter with 24/7 support
- Transparent budgeting with no hidden costs
Health is an invaluable aspect of our lives. Delegating management of something so fragile yet precious should be done only to experts with proven experience and a reputation. Booking Health is a trustworthy partner who assists you on the way of pursuing stronger health and a better quality of life. Contact our medical consultant to learn more about the possibilities of personalized treatment with innovative methods for metastatic brain cancer with leading specialists in this field.
Cancer Treatment Abroad: Patient Experiences with Booking Health
Frequently Asked Questions About Brain Tumors
Send request for treatmentBrain tumor life expectancy varies by tumor type and grade of malignancy. Some patients can live many years experiencing few or no brain tumor symptoms with a slow-growing tumor, while others with aggressive cancer may have a significantly shorter life expectancy.
The brain tumor cancer survival rate is approximately 33%–36%. But the benign brain tumor survival rate ranges from 85%–95%.
Yes, even a benign tumor can be life-threatening, because it can create pressure on vital brain areas, increase intracranial pressure, or disrupt essential functions.
In the early stages of brain cancer, you may experience a persistent headache, seizures, or unexplained nausea. Stage 1 glioma brain tumor, for example, can present with subtle weakness or numbness on one side of the body, unusual smells, a feeling of déjà vu, or involuntary muscle twitching.
An early symptom of a brain tumor can be a persistent headache. It is important to pay attention to unusual signs and seek neurological exams and imaging tests, such as MRI or CT scans, to take a closer look at your brain.
Brain tumor diagnosis can be prevented by avoiding unnecessary radiation and maintaining a healthy lifestyle. However, there is no guaranteed way to prevent brain lesions.
Brain tumor treatment without surgery is possible in some cases. You can undergo chemotherapy, targeted therapy, or immunotherapy, depending on the tumor's type and location.
Because the exact cause of developing tumors in the brain is unknown, they cannot be fully prevented, even by avoiding major risk factors and keeping a healthy lifestyle.
Metastatic brain tumor prognosis depends on the cancer type, but usually it is low, with around 5-15% of patients surviving beyond one to two years. However, advances in therapy have improved outcomes and prognoses for many patients.
The recovery depends on the level of surgical intervention and usually consists of rehabilitation, physical therapy, or speech therapy.
Choose treatment abroad and you will for sure get the best results!
Authors:
This article was edited by medical experts, board-certified doctors Dr. Nadezhda Ivanisova, and Dr. Yana Dmytryshyn. For the treatment of the conditions referred to in the article, you must consult a doctor; the information in the article is not intended for self-medication!
Our editorial policy, which details our commitment to accuracy and transparency, is available here. Click this link to review our policies.
Sources:
[1] Mackenzie Price, Christine Ann Pittman Ballard, Julia R Benedetti et al. CBTRUS Statistical Report: Primary Brain and Other Central Nervous System Tumors Diagnosed in the United States in 2018–2022. Neuro-Oncology, Volume 27, Issue Supplement_4, October 2025, Pages iv1–iv66. doi: 10.1093/neuonc/noaf194. [DOI]
[2] Julie Gould. Breaking down the epidemiology of brain cancer. Nature 561, S40-S41, 2018. doi: 10.1038/d41586-018-06704-7. [DOI]
[3] J Ricardo McFaline-Figueroa, Eudocia Q Lee. Brain Tumors. Am J Med. 2018 Aug;131(8):874-882. doi: 10.1016/j.amjmed.2017.12.039. [DOI] [PubMed]
[4] David N Louis, Arie Perry, Pieter Wesseling et al. The 2021 WHO Classification of Tumors of the Central Nervous System: a summary. Neuro Oncol. 2021 Jun 29;23(8):1231–1251. doi: 10.1093/neuonc/noab106. [DOI] [PMC free article]
[5] Quinn T Ostrom, Haley Gittleman, Peter Liao et al. CBTRUS Statistical Report: Primary brain and other central nervous system tumors diagnosed in the United States in 2010-2014. Neuro Oncol. 2017 Nov 6;19(suppl_5):v1-v88. doi: 10.1093/neuonc/nox158. [DOI] [PubMed]
See more
[6] Chubei Teng, Yongwei Zhu, Yueshuo Li et al. Recurrence- and Malignant Progression-Associated Biomarkers in Low-Grade Gliomas and Their Roles in Immunotherapy. Front. Immunol. 13:899710, 2022. doi: 10.3389/fimmu.2022.899710. [DOI]
[7] Yang Liu, Fei Zhou, Heba Ali, Justin D. Lathia & Peiwen Chen. Immunotherapy for glioblastoma: current state, challenges, and future perspectives. Cellular & Molecular Immunology volume 21, pages1354–1375 (2024). doi: 10.1038/s41423-024-01226-x. [DOI]
[8] Christian Ogasawara, Brandon D Philbrick, D Cory Adamson. Meningioma: A Review of Epidemiology, Pathology, Diagnosis, Treatment, and Future Directions. Biomedicines. 2021 Mar 21;9(3):319. doi: 10.3390/biomedicines9030319. [DOI] [PMC free article]
[9] Mary H. Samuels. Nonfunctioning Pituitary Tumors. Management of Pituitary Tumors: The Clinician’s Practical Guide, Second Edition. © Humana Press Inc., Totowa, NJ. doi: 10.1007/978-1-59259-390-3_5. [DOI]
[10] Alessia Pellerino, Robert M Verdijk, Lucia Nichelli et al. Diagnosis and Treatment of Peripheral and Cranial Nerve Tumors with Expert Recommendations: An EUropean Network for RAre CANcers (EURACAN) Initiative. Cancers (Basel). 2023 Mar 23;15(7):1930. doi: 10.3390/cancers15071930. [DOI] [PMC free article]
[11] Natalia Kremenevski, Michael Buchfelder, Nirjhar Hore. Intracranial Germinomas: Diagnosis, Pathogenesis, Clinical Presentation, and Management. Curr Oncol Rep. 2023 Apr 10;25(7):765–775. doi: 10.1007/s11912-023-01416-2. [DOI] [PMC free article]
[12] Baoqin Song, Xiu Wang, Lijing Qin et al. Brain gliomas: Diagnostic and therapeutic issues and the prospects of drug-targeted nano-delivery technology. Pharmacological Research. Volume 206, August 2024, 107308. doi: 10.1016/j.phrs.2024.107308. [DOI]
[13] Soumick Chatterjee, Faraz Ahmed Nizamani, Andreas Nürnberger & Oliver Speck. Classification of brain tumours in MR images using deep spatiospatial models. Scientific Reports volume 12, Article number: 1505 (2022). doi: 10.1038/s41598-022-05572-6. [DOI]
[14] Charlotte Sleurs, Catharina M L Zegers, Inge Compter et al. Neurocognition in adults with intracranial tumors: does location really matter? J Neurooncol. 2022 Nov 8;160(3):619–629. doi: 10.1007/s11060-022-04181-7. [DOI] [PMC free article]
[15] Nicolas R Smoll, Zoe Brady, Katrina J Scurrah et al. Computed tomography scan radiation and brain cancer incidence. Neuro Oncol. 2023 Jan 14;25(7):1368–1376. doi: 10.1093/neuonc/noad012. [DOI] [PMC free article]
[16] Erin M Dunbar, Amanda Eppolito, John W Henson. Genetic counseling and tumor predisposition in neuro-oncology practice. Neurooncol Pract. 2015 Oct 31;3(1):17–28. doi: 10.1093/nop/npv051. [DOI] [PMC free article]
[17] Tao Sun, Anya Plutynski, Stacey Ward, Joshua B Rubin. An integrative view on sex differences in brain tumors. Cell Mol Life Sci. 2015 May 19;72(17):3323–3342. doi: 10.1007/s00018-015-1930-2. [DOI] [PMC free article]
Read:
Comprehensive Guide to Brain Cancer Treatment: New and Standard Treatment Options
Brain cancer treatments in Germany
Treatment for Glioblastoma – Full Guide: New and Standard Treatments
Article menu:
Don't know where to start?
Contact Booking Health










